
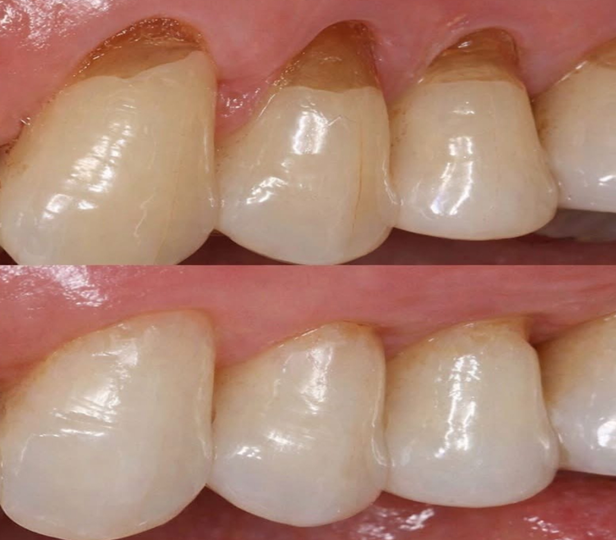
Les lésions cervicales non carieuses (NCCL) correspondent à une perte pathologique de tissu dentaire dur localisée au niveau cervical de la dent, à proximité de la jonction amélo-cémentaire, en l’absence de processus carieux et d’implication bactérienne.
L’étiologie des NCCL est multifactorielle, impliquant l’interaction de mécanismes mécaniques et chimiques, notamment :
- l’abrasion, principalement liée à des techniques de brossage inadaptées ou à l’utilisation de dentifrices abrasifs ;
- l’érosion, résultant de l’exposition répétée à des agents acides d’origine intrinsèque ou extrinsèque ;
- l’abfraction, caractérisée par une concentration de contraintes occlusales entraînant des microfractures de l’émail et de la dentine cervicale.
Ces lésions sont fréquemment associées à une récession gingivale, favorisant l’exposition dentinaire et l’augmentation de la susceptibilité aux agressions externes.
Sur le plan clinique, les NCCL peuvent se manifester par une hypersensibilité dentinaire, des altérations esthétiques et une perte progressive de substance dentaire, susceptible de compromettre l’intégrité structurale de la dent si les facteurs étiologiques ne sont pas identifiés et contrôlés.
La prise en charge repose sur un diagnostic précoce, l’identification et la maîtrise des facteurs de risque, ainsi qu’une approche thérapeutique minimalement invasive. Lorsque la symptomatologie, l’esthétique ou la progression lésionnelle le justifient, des restaurations cervicales adhésives peuvent être indiquées afin de restaurer la fonction, protéger la dentine exposée et améliorer le confort du patient.